- Wann ist eine Operation des erworbenen Knick-Senkfußes sinnvoll?
- Sehnen-Operationen bei Knick-Senkfuß
- Knöcherne Operationen bei Knick-Senkfuß
- Nachsorge und Reha nach Knick-Senkfuß-Operation
- Wie lange bin ich nach dem Eingriff arbeitsunfähig?

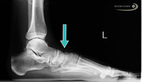
Der Knick-Senkfuß ist eine der häufigsten Fußfehlstellungen. Er äußert sich durch ein Absinken des Fußlängsgewölbes. Das Fersenbein ist meist nach außen gestellt, wodurch der Innenknöchel überlastet wird und es zu Beschwerden beim Laufen kommt. Zusätzlich ist beim Knick-Senkfuß die Zehenstellung verändert: Die Zehen zeigen nicht nach vorne, sondern beim Gehen eher nach außen. Der Arzt spricht vom Too-many-Toes-Sign.
In den meisten Fällen ist der Knick-Senkfuß eine Zivilisationserkrankung: Wir tragen zu enge Schuhe und trainieren die Füße zu wenig. Um das Fußlängsgewölbe aufrechtzuerhalten, spielt die Funktion der Tibialis-posterior-Sehne eine zentrale Rolle. Diese Sehne verläuft, ausgehend von einem tiefliegenden Muskel in der Wade, um den Rückfuß herum in das Fußlängsgewölbe hinein. Wenn sie beschädigt ist oder der Muskel nicht genügend Kraft aufbringt, sinkt das Fußlängsgewölbe ab. Die Wölbung unseres Fußes ist praktisch eine aktive Muskelleistung unserer Wadenmuskulatur.
Häufig können die Fußspezialisten den Knick-Senkfuß bei Erwachsenen durch aktivierende Übungen der Fußmuskulatur therapieren. In einigen Fällen ist die Fehlstellung des Fersenbeins bereits zu stark fortgeschritten, um einer konservativen Therapie zugänglich zu sein.
Wenn die Tibialis-posterior-Sehne zudem durch Erkrankungen oder Entzündungen so geschädigt ist, dass sie den Muskelzug nicht mehr auf das Fußgewölbe übertragen kann, ist eine operative Behandlung des Knick-Senkfußes erforderlich.
Experten-Vortrag zu Fußfehlstellungen mit unserem Fußspezialisten Dr. Schneider:
Externer Inhalt von youtube.com
Wann ist eine Operation des erworbenen Knick-Senkfußes sinnvoll?
Führen die konservativen Maßnahmen nicht zur Verbesserung, kann eine operative Therapie das Fortschreiten des Knick-Senkfußes verhindern. Je nach Ausmaß der Fußfehlstellung sind Verbesserungen möglich und sinnvoll. Sind bereits schwer korrigierbare Fehlstellungen vorhanden, helfen meist versteifende Eingriffe (Arthrodesen) mit gleichzeitiger Stellungsverbesserung (Osteotomie), um die Beschwerden an Fuß und Ferse zu lindern. Die Versteifungen der Fußwurzel können durch eine frühzeitige Behandlung verhindert werden.
Stadien der Tibialis-posterior-Schwäche:
- 1. Stadium: Sehne entzündet, Fußform des Patienten noch unverändert.
- 2. Stadium: Sehne bereits verlängert, erworbener Knick-Senkfuß äußerlich sichtbar
- 3. Stadium: Kontrakter Knick-Senkfuß mit degenerativen Veränderungen, d. h. Arthrose im unteren Sprunggelenk (USG)
- 4. Stadium: Kontrakter Knick-Senkfuß, degenerative Veränderungen, d. h. zusätzlich Arthrose im oberen Sprunggelenk (OSG)
Sehnen-Operationen bei Knick-Senkfuß

Bei einer beginnenden Fehlstellung können Eingriffe an der Tibialis-posterior-Sehne sinnvoll und ausreichend sein. Häufig ist die Sehnenhülle der Tibialis-posterior-Sehne entzündlich verändert (Tenosynovitis). In einer minimalinvasiven Sehnenoperation kann der Arzt die entzündeten Bereiche der Sehnenhaut beseitigen. Die Entfernung der entzündeten Bereiche verhindert ein weiteres Voranschreiten der Sehnenentzündung. Im Bedarfsfall kann die Tibialis-posterior-Sehne in geschwächten Bereichen leicht verkürzt und neu vernäht ("gerafft") werden.
Sehnentransplantation: Einsatz einer körpereigenen Sehne

Bei weitergehender Schädigung kann der Operateur die Tibialis-posterior-Sehne ersetzen, zum Beispiel durch die Transplantation einer körpereigenen (autologen) Sehne an den Fußinnenrand. Für den Transfer eignet sich besonders die Sehne des langen Zehenbeugers (Musculus flexor digitorum longus). Dieser Sehnentransfer ersetzt nur teilweise die Funktion der ursprünglichen Tibialis-posterior-Sehne, sodass knöcherne Begleiteingriffe notwendig sind. Die verringerte Zehenbeweglichkeit nehmen unsere Patienten erfahrungsgemäß ohne Probleme in Kauf und empfinden diese als wenig einschränkend. Sie profitieren mit einer verbesserten Stabilität des Fußgewölbes und leiden deutlich weniger unter Schmerzen und Gangveränderungen.
Knöcherne Operationen bei Knick-Senkfuß
Der geringere Muskelzug nach einer Sehnenverlagerung führt häufig dazu, dass der Operateur zusätzliche stützende Eingriffe an den Knochen durchführt. Auch schwere und komplexe Fußfehlstellungen erfordern kombinierte Eingriffe, die der Orthopäde ausführlich mit dem Patienten bespricht. Zu diesen Eingriffen zählen:
- Evans-Osteotomie: Verlängerung des Knochens am Fußaußenrand
- Arthrodese des Gelenks zwischen Fersenbein und Kahnbein (Talonavikulargelenk)
- Verschiebungsoperation des Fersenbeins und damit Veränderung des Achillessehnenzugs
- Triple-Arthrodese: Versteifung des unteren Sprunggelenks (USG)
Evans-Osteotomie: Fußbegradigung durch knöcherne Korrektur

Ziel dieses Eingriffes ist es, den Fuß zu begradigen. Um eine Chance auf eine langfristige Korrektur zu haben, müssen die Zugverhältnisse und Weichteilspannungen der Fußwurzel verändert werden. Der Weichteileingriff an der Tibialis-posterior-Sehne kann dies praktisch nie alleine erreichen. Über einen Schnitt im äußeren Bereich des Fersenbeins (Calcaneus) bringt der Arzt einen Knochenkeil z. B. aus dem Beckenkamm ein. Diese Operation korrigiert die Stellung von Vor- und Mittelfuß gegenüber dem Sprungbein (Talus).
Wie führen die Ärzte der Gelenk-Klinik die Evans-Osteotomie durch?
- Der Eingriff erfolgt in Rückenlage mit Oberschenkelblutsperre. Damit wird der Blutfluss im betroffenen Bein unterbunden. Nach mehrfachem sterilen Abwaschen und Abdecken der Operationsbereichs setzt der Operateur einen etwa 5 cm langen Hautschnitt.
- Das Gelenk zwischen Fersenbein und Kahnbein wird freigelegt. Sehnen und Muskeln verlagert der Operateur zur Seite.
- Abhängig vom Zustand des talonavikularen Gelenks entscheidet der Operateur, ob der Eingriff als Versteifungsoperation oder als Verlängerungsoperation nach Evans durchgeführt wird.
- Beim Verlängerungseingriff eröffnet der Arzt die Gelenkkapsel. Nach Spreizung entfernt er den geschädigten Gelenkknorpel und bringt einen festen Knochenspan ein. Dieser ist erfahrungsgemäß 1 bis 1,5 cm lang. Anschließend befestigt der Orthopäde den Knochenspan mit einem Draht oder einer Metallplatte, um eine sichere Überbrückung und Ausheilung zu erreichen.
- Abschließend führt der Arzt eine Rückverlagerung der Weichteile und eine ausgiebige Spülung und Betäubung des Gewebes durch.
- Bei intaktem Gelenk und guten Knochenverhältnissen wird der Fersenbeinknochen etwa 1 cm hinter dem Gelenk mit dem Meißel durchtrennt. Daraufhin erfolgt die Spreizung und der Einsatz des Knochens.
Versteifung (Arthrodese) des Talonavikulargelenks

Bei der talonavikularen Arthrodese erfolgt die Versteifung im vorderen inneren unteren Sprunggelenk (USG). Diese Form der Versteifung ist immer dann notwendig, wenn der Innenbandkomplex und die das Fußgewölbe aufrichtende Tibialis-posterior-Sehne nicht funktionell ersetzbar sind.
Verschiebungsoperation des Fersenbeins

Die knöcherne Verschiebung des Fersenbeins (Mediale Displacement Osteotomy, MDO) ist geeignet, die Fehlstellung des Rückfußes auszugleichen und korrigiert vor allem die Knickfuß-Komponente. Durch die Verlagerung des Fersenbeins nach innen verändert sich auch die Zugrichtung der kräftigen Achillessehne. Dies richtet den Fuß insgesamt auf.
Die Fehlstellung des Fersenbeins verändert die Zugwirkung der starken Achillessehne: Sie wird beim Gehen nicht ausreichend gedehnt und verkürzt sich daraufhin. Diese Verkürzung spielt eine wichtige Rolle beim Aufrechterhalten der Knick-Senkfußfehlstellung. Eine Normalisierung der Fersenstellung verhindert die fortschreitende Verkürzung der Achillessehne.
Triple-Arthrodese: operative Versteifung von drei Teilgelenken

Bei einigen Patienten ist eine Triple-Arthrodese indiziert. Dabei versteift der Operateur alle gelenkigen Verbindungen des Sprungbeins: nach hinten/unten zum Fersenbein, nach vorne zum Kahnbein (Os naviculare) sowie die Verbindung zwischen Fersenbein zum Würfelbein (Kuboid). Die Triple-Arthrodese kann die normalen räumlichen Verhältnisse im Fußlängsgewölbe wiederherstellen. Diese therapeutische Versteifung macht schmerzende arthrotische Gelenke schmerzfrei. Die Beweglichkeit im oberen Sprunggelenk bleibt erhalten.
Experten-Vortrag zur operativen Therapie bei Fußfehlstellungen mit unserem Fußspezialisten Dr. Schneider:
Externer Inhalt von youtube.com
Nachsorge und Reha nach Knick-Senkfuß-Operation

Nach der Operation erfolgt eine elastische Wicklung mit einem sterilen Kompressionsverband. Das Bein sollte dringend hoch gelagert werden. Wir führen immer eine Antibiotikaprophylaxe gegen mögliche Infektionen der Wunde durch. Eine Thromboseprophylaxe mit Heparin benötigt der Patient bis zur Vollbelastung.
Wir empfehlen nach dem Eingriff das Tragen eines speziellen starren Walker-Schuhs mit einer Teilbelastung von 20 kg für 6 Wochen. Röntgenkontrollen führen wir am Tag nach der Operation durch. Nach 3 und 6 Wochen kontrollieren wir das Operationsergebnis und die Knochenreaktion. Danach ist der Belastungsaufbau bis zur Vollbelastung geplant. Die Gesamtentlastungsphase kann individuell auch erheblich länger dauern.
Wie lange bin ich nach dem Eingriff arbeitsunfähig?
In der Entlastungsphase dürfen Sie nicht Autofahren. Eine sitzende Tätigkeit ist nach gesicherter Wundheilung wieder möglich. Längeres Stehen und Gehen im Beruf können Patienten in der Regel nach vollständiger Ausheilung des Knochens nach 8 Wochen wieder aufnehmen.
Literaturangaben
- Cass, A. D. & Camasta, C. A. (2010). A review of tarsal coalition and pes planovalgus: clinical examination, diagnostic imaging, and surgical planning. The Journal of foot and ankle surgery: official publication of the American College of Foot and Ankle Surgeons, 49, 274–93.
- Evans, A. M. & Rome, K. (2011). A review of the evidence for non-surgical interventions for flexible pediatric flat feet. European journal of physical and rehabilitation medicine.
- Kumar, S. J., Guille, J. T., Lee, M. S. & Couto, J. C. (1992). Osseous and non-osseous coalition of the middle facet of the talocalcaneal joint. The Journal of bone and joint surgery. American volume, 74, 529–35.
- Lysack, J. T. & Fenton, P. V. (2004). Variations in calcaneonavicular morphology demonstrated with radiography. Radiology, 230, 493–7.
- Nalaboff, K. M. & Schweitzer, M. E. (2008). MRI of tarsal coalition: frequency, distribution, and innovative signs. Bulletin of the NYU hospital for joint diseases, 66, 14–21.
- Niethard, F. U., Pfeil, J. & Biberthaler, P. (2009). Orthopädie und Unfallchirurgie. Stuttgart: Thieme.
- Sullivan, J. A. (1999). Pediatric flatfoot: evaluation and management. The Journal of the American Academy of Orthopaedic Surgeons, 7, 44–53.
- Sullivan, R. J. (2010). The pediatric foot and ankle. Foot and ankle clinics, 15, ix.
- Wülker, N. (2005). Taschenlehrbuch Orthopädie und Unfallchirurgie. Stuttgart: Thieme.
- Yagerman, S. E., Yeagerman, S. E., Cross, M. B., Positano, R. & Doyle, S. M. (2011). Evaluation and treatment of symptomatic pes planus. Current opinion in pediatrics, 23, 60–7.