- Was ist die Cotton-Osteotomie?
- Wann wird die Cotton-Osteotomie eingesetzt?
- Wie wird die Cotton-Osteotomie durchgeführt und wie wird das Implantat fixiert?
- Wie sieht die Nachbehandlung nach Cotton-Osteotomie aus?
- Wann ist eine Versteifung der Fußwurzel nötig?
Aufrichtung des Längsgewölbes durch Implantation eines Titankeils (Pfeil) in das innen liegende Keilbein. © Gelenk-Klinik
Zur operativen Behandlung des erworbenen Knick-Senkfuß gibt es verschiedene Techniken. Eine gelenkerhaltende Methode ist die Aufrichtung des Fußlängsgewölbes durch Einsetzen eines Keils in das mediale Keilbein (Os cuneiforme I). Diese sogenannte Cotton-Osteotomie kann plattfußbedingte Fußschmerzen und Instabilitäten verbessern und wird häufig mit rückfußnahen korrigierenden Verfahren verbunden. In manchen Fällen sind zur Verbesserung der Stabilität auch zusätzliche Versteifungen im Bereich von Fußwurzel oder Vorfuß erforderlich.
Was ist die Cotton-Osteotomie?
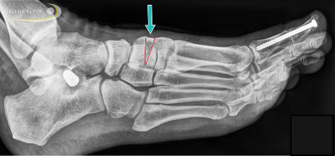
Röntgenbild nach einer Cotton-Osteotomie. Der Pfeil zeigt auf den knöchernen Keil (hier Fremdmaterial durch Spenderknochen). Weiterhin sichtbar im Bild sind eine Versteifung des Großzehenendgelenkes mittels Schraube (rechts) und eine Sinus-tarsi-Spreizprothese zwischen Sprungbein und Fersenbein (links). © Gelenk-Klinik
Bei der Cotton-Osteotomie handelt es sich um ein operatives Verfahren zur Behandlung des erworbenen Knick-Senkfußes. Sie zielt darauf, das Fußlängsgewölbe wieder aufzurichten. Im Gegensatz zu rückfußnahen gewölbeaufrichtenden Techniken setzt die Cotton-Osteotomie am Mittelfuß an.
Durch Implantation eines Keils in das mediale, am Fußinnenrand liegende Keilbein (Os cuneiforme I) wird der erste Strahl (also der Bereich der Großzehe) abgesenkt und gleichzeitig das Gewölbe angehoben. In der Folge stabilisiert sich das Fußlängsgewölbe und der Fuß rollt beim Gehen wieder über den ersten Strahl ab. Ohne diese Korrektur käme es zu einer vermehrten Belastung des lateralen Fußrandes, was für den Patienten ungünstig wäre.
Knochenkeil versus Titankeil
Der bei der Cotton-Osteotomie verwendete Keil ist entweder aus Knochen oder aus Titan. Für das Knochenimplantat sägt man ein passendes Stück aus Knochenmaterial des Patienten oder aus Spenderknochen zurecht. Titankeile sind stabiler als Knochenkeile, es gibt sie in verschiedenen Größen vorgefertigt. Die Auswahl hängt u. a. von der Knochenqualität, der Größe des Defekts und der Stabilität ab.
Der Hauptunterschied zwischen Knochenmaterial und Titan liegt in der veränderten Nachbehandlung. Knochenkeile benötigen etwa sechs bis zwölf Wochen für eine stabile Einheilung, eine Teilbelastung ist nach etwa acht Wochen möglich. Titankeile führen schneller zu einer Stabilität und können oft schon nach sechs Wochen belastet werden.
Cotton-Osteotomie oder Fersenbeinverlängerung?
Cotton-Osteotomie und Fersenbeinverlängerung sind beide Osteotomien zur Behandlung von Plattfußdeformitäten (Pes planovalgus, Knick-Senkfuß). Sie unterscheiden sich in der Lage des Eingriffs und im Effekt auf den Fuß. Die Cotton-Osteotomie setzt am inneren Mittelfuß an, sie senkt den Großzehenstrahl und hebt dadurch das Längsgewölbe. Bei der Fersenbeinverlängerung wird die seitliche (laterale) Fußsäule verlängert und das Sprungbein und damit das Fußgewölbe indirekt aufgerichtet.
Wann wird die Cotton-Osteotomie eingesetzt?
Die Cotton-Osteotomie gehört zu den operativen Eingriffen, die bei erworbenem Knick-Senkfuß mit anhaltenden, konservativ nicht beherrschbaren Beschwerden zum Einsatz kommen. Besonders hilfreich ist sie bei gleichzeitiger Vorfußsupination. In vielen Fällen ist die Cotton-Osteotomie Teil eines komplexen korrigierenden Eingriffs, oft wird sie z. B. mit Rückfußkorrekturen wie der Fersenbeinumstellung (MDO) oder der Verlängerung des Fersenbeins (Evans-Osteotomie) kombiniert.
Kontraindiziert ist die Cotton-Osteotomie bei kontrakter Fehlstellung und schwerer Arthrose.
Wie erfolgt eine Cotton-Osteotomie und wie wird das Implantat fixiert?
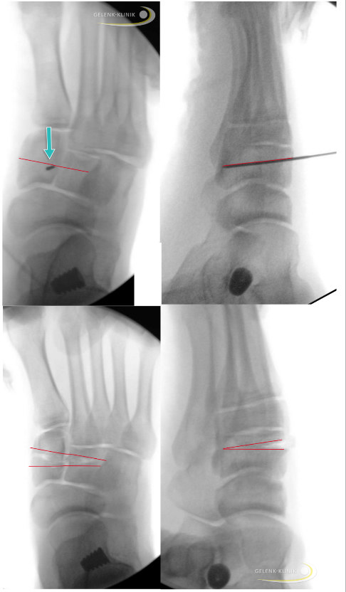
Intraoperative radiologische Kontrolle bei Cotton-Osteotomie: Nach Einbringen des Kirschner-Drahts und Überprüfung seiner Lage erfolgt dann die Durchtrennung (2/3 des Knochens) und anschließend die schrittweise Aufbiegung im Knochen. Im weiteren Verlauf wird der aufgespreizte Knochen mit einem Implantat gesichert. Die unteren beiden Bilder zeigen die Aufspreizung der beiden benachbarten Knochen Os cuniforme mediale und Os cuniforme intermedius. © Gelenk-Klinik
Die Cotton-Osteotomie wird meist in Vollnarkose und in Rückenlage des Patienten durchgeführt. Oft ist sie der letzte Teil einer komplexen Knick-Senkfußoperation. Nach entsprechender Behandlung der Weichteile mit Sehnenverlagerung und Lösung von Sehnen löst der Operateur das Periost und markiert das Operationsgebiet mit einem Draht.
Unter Bildwandler wird die geplante Osteotomie dargestellt, anschließend erfolgt die präzise Durchtrennung des medialen Keilbeins mit einer Säge. Dann bringt der Fußchirurg spezielle Drahtspreizer und Meißel in den Knochenspalt ein. Nach Aufspreizen des gesägten Spalts wird die Stellung des Vorfußes mehrfach überprüft und die passende Größe des Implantats bestimmt.
Geht es auch ohne Fixierung?
Bei der gelenkerhaltenden Cotton-Osteotomie ist die Fixierung der Knochen häufig nicht nötig. Die hochgradige Spannung in der Osteotomie reicht für eine stabile Fixierung meist aus. Die Teilbelastung während der Nachbehandlung führt zu einer Kompression und begünstigt dadurch die Heilung zusätzlich. Eine Belastung ist mit 20 kg erlaubt.
Nach dem Einsetzen des Keils kann optional eine Fixierung zwischen dem inneren Keilbein und dem danebenliegenden zweiten Keilbein erfolgen – meist mit einem Draht oder einer Schraube. Diese Maßnahme ist besonders bei tarsaler Instabilität sinnvoll, da sie die Senkung des ersten Strahls (Großzehenbereich) unterstützt und den Vorfuß stabilisiert, sodass der Patient auch nach Rückfußkorrektur normal abrollen kann.
Wie sieht die Nachbehandlung nach Cotton-Osteotomie aus?
Um die Knochenheilung zu sichern, wird der operierte Fuß zunächst in einem Spezialschuh ruhiggestellt. Nach etwa sechs Wochen erfolgt eine Röntgenkontrolle, bei der über das weitere Vorgehen entschieden wird. Wurde ein Titankeil implantiert, kann ab der sechsten Woche mit der Teilbelastung (20 kg) begonnen werden. Bei einem Knochenkeil startet man damit etwa acht Wochen nach dem Eingriff.
In manchen Fällen kommt ein Gips zum Einsatz. Empfohlen wird dies z. B. bei Revisionsoperationen (Nachoperationen) oder wenn ein Kunststoffcast schwierig anzulegen ist. Solche Maßnahmen sind aufgrund des erhöhten Risikos für eine Pseudarthrose vor allem bei schwieriger Mobilisation sinnvoll.
Wann ist eine zusätzliche Versteifung im Bereich von Fußwurzel bzw. Vorfuß nötig?
Manchmal kommt es durch die langjährige Fehlbelastung beim Knick-Senkfuß zu geschädigten und instabilen Fußwurzelgelenken. Solche Instabilitäten lassen sich in der präoperativen Röntgenaufnahme erkennen. Um die nötige Stabilität wiederherzustellen, ist die Versteifung (Arthrodese) einiger der ohnehin wenig beweglichen Fußwurzel- oder Vorfußknochen eine Option. Zwei Hauptorte stehen zur Aufrichtung des Längsgewölbes zur Verfügung:
- plantarisierende Lapidusarthrodese (Versteifung der Mittelfuß-Keilbein-Linie, z. B. des ersten Mittelfußknochens (Os metatarsale I) mit dem medialen Keilbein oder die
- aufrichtende Arthrodese (Versteifung) im Kahnbein-Keilbein-Gelenk
Bei der plantarisierenden Lapidusarthrodese wird das Gelenk zwischen dem 1. Mittelfußknochen und dem medialen Keilbein versteift. Der Eingriff wird häufig ergänzend zu anderen Fußkorrekturen durchgeführt. Er senkt den angehobenen (supinierten) Großzehenstrahl zum Boden - deshalb die Bezeichnung "plantarisierend" (lat. plantaris "Sohle"). Diese senkende Versteifung korrigiert die Vorfuß-Supination und ermöglicht eine deutliche Stabilität der inneren Fußsäule und damit des Fußlängsgewölbes.
Eine versteifende und aufrichtende Korrektur ist die Arthrodese im Kahnbein-Keilbein-Gelenk (Articulatio naviculocuneiformis). Dieses Gelenk ist durch seinen besonderen anatomischen Aufbau sehr schwierig einzuschätzen. Das Kahnbein wird mit den drei in der Fußwurzel liegenden Keilbeinen versteift. Oft kommt zur zusätzlichen Korrektur ein Knochenkeil (häufig vom Beckenkamm) zum Einsatz. Dieser Keil wird durch spezielle Implantate und Schrauben fixiert und soll ein durchhängendes Kahnbein-Keilbein-Gelenk stabilisieren.
Welche Verfahren letztendlich im individuellen Fall am sinnvollsten sind, entscheidet der Fußchirurg anhand der Beweglichkeit, der Knochenqualität, dem Belastungsanspruch und den präoperativ durchgeführten diagnostischen Befunden.
Literatur
- Ellis, S., de Cesar Netto, C., & Prissel, M. A. (2022). Progressive collapsing flatfoot deformity. Foot & Ankle Specialist, 15(4), 369-376.
- Jackson III, J. B., Pacana, M. J., & Gonzalez, T. A. (2022). Adult acquired flatfoot deformity. JAAOS-Journal of the American Academy of Orthopaedic Surgeons, 30(1), e6-e16.
- Monteagudo, M. (2026). Flatfoot Reconstruction. In Surgical Techniques of the Foot and Ankle (pp. 283-298). Cham: Springer Nature Switzerland.
- Patel, S., Schuberth, J. M., Cobb, M., & Lügen Krcal, C. E. (2023). Surgical Considerations for Revision Flatfoot Reconstruction: Overcorrection/Undercorrection. Sagen Clinics in Podiatric Medicine and Surgery, 40(2), 351-364.
- Schleunes, S. D., Campbell, S. N., Jones, J. M., Philp, F. H., & Catanzariti, A. R. (2022). Radiographic analysis of the lateral column lengthening procedure in stage II adult acquired flatfoot deformity. The Journal of Foot and Ankle Surgery, 61(6), 1293-1298.
- Tian, F., Wang, J., Liu, C., Li, Y., Liang, X., & Wang, X. (2022). Medial column reinforcement for the correction of flatfoot deformity with accessory navicular bone. American Journal of Translational Research, 14(9), 6368.
